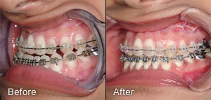
Indications
- Malocclusion associated with abnormalities in the size, position or relations of the upper and lower jaw
Anesthesia
- General
Duration
- 3 - 6 hrs
In / Outpatient
- Inpatient
Procedure
- Through hidden incisions within the mouth, the upper jaw, lower jaw, or both are cut, repositioned and rigidly fixed
Recovery
- Patients recover in hospital for 2 - 6 days
- Incisions are healed within 2 weeks
- Modified diet is required for 6 weeks, and is generally associated with significant weight loss
- Return to school or work after 4 weeks, but no strenuous activity or contact sports for 12 weeks
Result
- Provides a permanent change in occlusion and in facial proportions
Risks
- Infection, hematoma, wound or bone healing complications
- Dental injury or malocclusion
- Residual asymmetry or deformity
- Nerve injury





